
Mostarka dr. Svjetlana Tišma-Dupanović izvela je prvu dvokomornu operaciju srca izravno u šupljinama srca na Floridi uz pomoć nove tehnologije.
Prije nekoliko dana u američkoj saveznoj državi Floridi izvedena je revolucionarna kardiokirurška operacija koja će ući u medicinsku povijest.
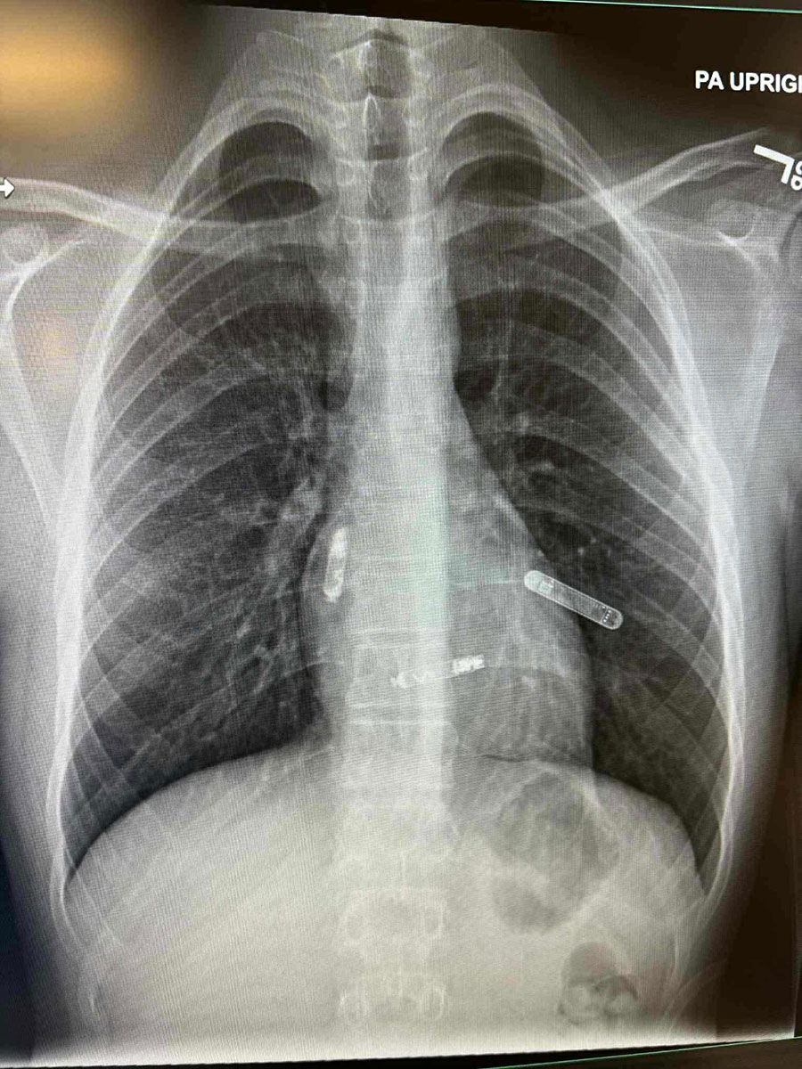
Mostarka dr. Svjetlana Tišma-Dupanović, kardiologinja i pedijatrica, uspješno je pacijentu ugradila dvokomorni pejsmejker izravno u srčane šupljine, u pretklijetku i klijetku, koji sinkronizirano potiču pravilan rad srca.
Ovo je prva takva operacija izvedena na Floridi i ujedno predstavlja veliki napredak u liječenju srčanih bolesti, osobito kod pacijenata s poremećajima srčanog ritma i oslabljenom pumpnom funkcijom srca.
Tradicionalni pejsmejkeri postavljaju se ispod kože prsnog koša, a žice prolaze kroz vene do srca. Nova tehnologija, koju je primijenila dr. Svjetlana Tišma-Dupanović, omogućuje izravnu ugradnju uređaja unutar srca, bez žica koje prolaze kroz krvne žile.
Ovaj dvokomorni (biventrikularni) pejsmejker sinkronizira rad pretklijetki i klijetki, čime se postiže pravilniji ritam i učinkovitije pumpanje krvi, objavio je dr. Edhem Čustović na svojoj Facebook stranici.
Dr. Svjetlana Tišma-Dupanović rođena je u Mostaru, a diplomirala je medicinu na Sveučilištu u Sarajevu 1987. godine. Nakon toga posvetila se pedijatriji i kardiologiji te postala jedna od najuglednijih stručnjakinja u području pedijatrijske elektrofiziologije, grane medicine koja se bavi poremećajima srčanog ritma kod djece i adolescenata.



Foto: Facebook